Što je anembrionalna trudnoća?
Anembrionalna trudnoća je nepravilna trudnoća kod koje dolazi do razvoja gestacijske vrećice i početne posteljice, ali ne dolazi do razvoja ploda.
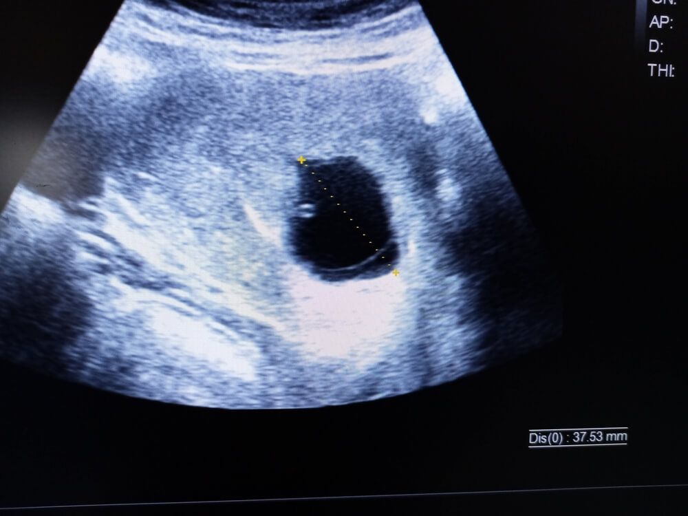
Ultrazvučni prikaz anembrionalne trudnoće na kojem se ne prikazuju ni plod ni žumanjčana vreća, nego samo prazna gestacijska vreća.

Uzrok anembrionalne trudnoće
Nakon oplodnje jajne stanice sa spermijem, počinje dioba stanice. Tijekom svog puta kroz jajovod događa se umnažanje stanica buduće trudnoće koja se nakon dolaska u šupljinu maternice usađuje u sluznicu, tj. endometrij. Prilikom razvoja trudnoće prvo nastaje gestacijska vrećica i stanice buduće posteljice, ali istovremeno i stanice ploda od kojih bi se trebala prvo pojaviti žumanjčana vreća, a onda i sam plod. Ako je tijekom diobe oplođene jajne stanice došlo do kromosomskih grešaka, u određenim slučajevima ne dolazi do razvoja ploda i nastaje anembrionalna trudnoća.
Kao drugi mogući razlozi navode se:
- infekcije
- trudnice koje su starije od 35 godina naviše (nešto su češće kromosomske razvojne greške ploda)
- neprepoznate bolesti – bolesti štitne žlijezde, oremećaji zgrušavanja krvi (trombofilije)
- ako su češći spontani pobačaji u prethodnim trudnoćama. Ponekad je potrebno provesti genetsko ispitivanje pobačenog sadržaja ili /i roditelja.
Simptomi i znakovi anembrionalne trudnoće
U početku trudnoće, pa tako i kod anembrionalne trudnoće, dolazi do razvoja ranih simptoma trudnoće, kao što su izostanak menstruacije, mučnina, povraćanje, promjene raspoloženja, nabrekle i bolne grudi…
Ako se radi o anembrionalnoj trudnoći, najčešće između 8. i 12. tjedna dolazi do pojave simptoma:
- vaginalno krvarenje – može biti različitog intenziteta od oskudnog do obilnijeg, uzrokovano nepravilnim porastom hormona trudnoće
- bolovi u donjem dijelu trbuha, različitog intenziteta uzrokovani stezanjem maternice.
Dijagnoza anembrionalne trudnoće
Ginekološkim pregledom će se ustanoviti prisutnost krvi u rodnici te eventualno nešto tvrđa maternica i stupanj otvorenosti vrata maternice. Ultrazvučnim pregledom će se prikazati unutar šupljine maternice prazna gestacijska vrećica, najčešće između 7. i 9. tjedna trudnoće.
Određivanjem hormona trudnoće (bHCGa) iz krvi majke u razmaku od dva do tri dana, čiji će porast biti nepravilan.
Kada potražiti hitnu medicinsku pomoć?
U slučaju jačih bolova u donjem dijelu trbuha i zdjelice kako bi se utvrdilo o čemu se radi. U slučaju pojave bilo koje količine vaginalnog krvarenja.
Da li se anembrionalna trudnoća može spriječiti?
Anembrionalna trudnoća se ne može spriječiti i pojavnost iste u sljedećim trudnoćama značajnije ne raste.
Ako je bilo više od tri spontana pobačaja u prethodnim trudnoćama, vaš ginekolog će vas uputiti na određena genetska ispitivanja, testove trombofilije, hormonalnu obradu… Time će se eventualno dobiti uvid zbog čega dolazi do povećanog broja spontanih pobačaja. Mikrobiološki brisevi vrata maternice kako bi se isključila moguća infekcija.
Anembrionalna trudnoća je spontani pobačaj koji se javlja u ranoj trudnoći, tj. do 12. tjedna trudnoće. Bilo kakvo krvarenje iz rodnice ili bolovi u donjem dijelu trbuha u ranoj trudnoći zahtijevaju ginekološki pregled. Ukoliko je dijagnosticirana anembrionalna trudnoća, to ne znači ćete u sljedećim trudnoćama nužno imati sličan ili isti problem. Nakon spontanog pobačaja uputno je pričekati dva do tri normalna menstruacijska ciklusa prije nego se odlučite na novi pokušaj ostvarivanja trudnoće.